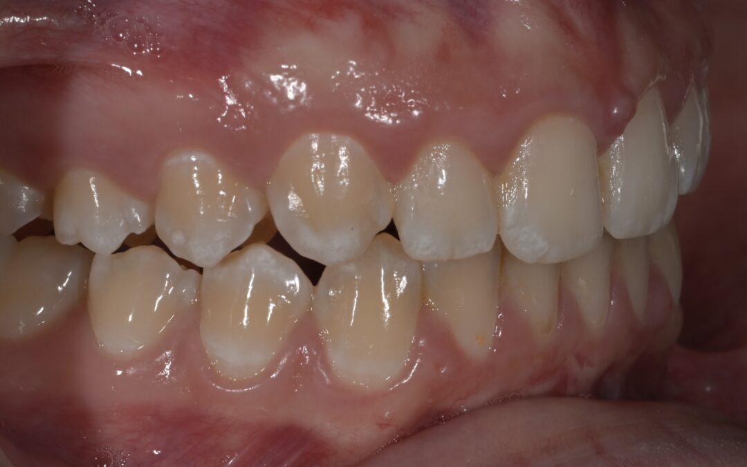
SBIANCAMENTO DENTALE. Sbiancamento domiciliare per fluorosi dentale
La fluorosi si presenta come macchie bianche che possono variare in gravità da lievi a severe. Non è una malattia ma una alterazione dello smalto dentale causata dall’eccessiva esposizione al fluoro durante la formazione dei denti. I trattamenti per eliminare le...
ESTETICA DENTALE. Faccette dentali in ceramica integrale
La paziente si è recata presso il nostro studio per migliorare il proprio sorriso. Nello specifico la paziente desiderava chiudere gli spazi presenti sia a livello mesiale che distale dei suoi incisivi laterali superiori e allineare i margini incisali degli incisivi...
ORTODONZIA. Terapia funzionale e fissa per allineamento dentale
Paziente 10 anni, overjet aumentato, II classe con palato contratto, affollamento dentale e deviazione della linea mediana Terapia: • Prima fase: terapia Intercettiva con espansione del palato, durata 12 mesi • Seconda fase: terapia fissa con estrazione dei premolari,...











